Facially Driven Aesthetic Dentistry
Experience world-class full-mouth reconstruction and dental implants in Istanbul. Curated by Dr. Ali Furkan Akmurat, combining Swiss precision technology with Turkish hospitality.

Google Reviews
Design vs. Reality
Our 'Reverse Engineering' protocol: We design the final smile first, then engineer the treatment to achieve that exact vision.
Watch the 'Reverse Engineering' Process in Action
Featured Case: Porcelain Veneers Journey

Design (Mock-up)
Testing the new smile design intraorally

Before
Initial consultation and analysis

Reality (Final)
The final porcelain veneers bonded

Recall (1 Year)
Long-term stability and happiness








Our Treatments
Discover our comprehensive range of dental treatments designed to give you the perfect smile

No-Prep Veneers
Ultra-thin Ivoclar E-max Press laminates (0.3mm) that preserve your natural teeth. Minimally invasive application without drilling, ensuring maximum aesthetics and structural integrity.

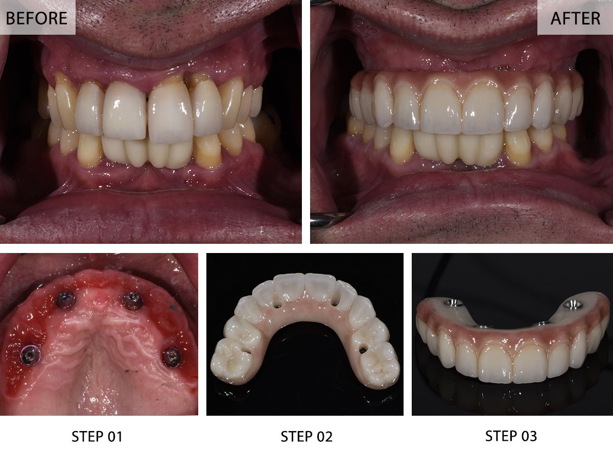
All on 4
Full-arch restoration using Nobel Biocare or Straumann implants. Immediate function and aesthetics with a fixed hybrid prosthesis in just one day.

Dental Implants
Premium Swiss and German implants (Straumann, Nobel Biocare, Ankylos). Lifetime warranty solutions with guided surgery precision.

Invisalign
The world's most advanced clear aligner system. Straighten your teeth discreetly with custom-made SmartTrack material aligners.

Professional Whitening
Opalescence and FGM whitening systems for a brighter smile. Safe, effective, and delivers natural-looking results.

Digital Smile Design
Co-design your future smile using advanced DSD protocols. Visualize the final result on your own face before we even start.
Why Choose AFA Aesthetics?
Experience world-class dental care with cutting-edge technology and personalized treatment plans
Expert Team
Our experienced dentists specialize in cosmetic and restorative dentistry with international training
Premium Materials
We use only the finest materials: Ivoclar Vivadent E-max, Straumann implants, and Invisalign clear aligners
Advanced Technology
State-of-the-art equipment including digital smile design, 3D imaging, and CAD/CAM technology
Personalized Care
Every treatment plan is customized to your unique needs, goals, and facial aesthetics
International Standards
We follow strict sterilization protocols and international quality standards for your safety
Lifetime Support
Comprehensive aftercare and lifetime support for all our implant and veneer treatments

All on 4 Treatment
Gone are the days when full dentures were held in place with adhesives and bridges. Using the latest dental technology, All on 4 eliminates the need for a completely new set of dentures or supporting implants, and instead fixes the number of prosthetics you need using dental implants in a simpler, more seamless process.
Ready to Transform Your Smile?
Book your free consultation today and discover how we can help you achieve the smile of your dreams
Stay Updated
Subscribe to our newsletter for dental health tips, special offers, and the latest treatments